Implant dentar Timișoara – cât timp poți sta fără dinte
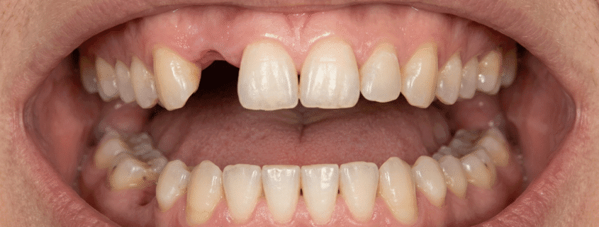
Cât timp poți sta fără dinte este o întrebare frecventă în rândul pacienților care amână tratamentul. Deși în primele luni poate părea că nu apare nicio problemă, în timp lipsa unui dinte duce la modificări importante, afectând atât funcționalitatea, cât și estetica.
Chiar dacă nu există durere imediată, amânarea tratamentului poate complica ulterior procedura și poate crește costurile.
Implantul dentar este conceput pentru a înlocui complet dintele pierdut, oferind stabilitate și o funcționalitate similară unui dinte natural.

Cât timp poți sta fără dinte influențează direct structura osoasă, iar implantul dentar ajută la menținerea stabilității și funcționalității.
Cât timp poți sta fără dinte fără riscuri majore
În general, în primele luni după pierderea unui dinte, modificările sunt minime. Totuși, procesul de resorbție osoasă începe imediat.
- primele 3 luni – impact redus
- 6 luni – începe pierderea vizibilă de os
- peste 12 luni – modificări semnificative
Cu cât trece mai mult timp, cu atât tratamentul devine mai complex.

Cât timp poți sta fără dinte se stabilește corect doar în urma unui consult, unde medicul evaluează osul și poziția dinților.
Ce se întâmplă dacă amâni tratamentul
Amânarea tratamentului poate duce la:
- pierderea osului în zona respectivă
- deplasarea dinților vecini
- afectarea mușcăturii
- probleme estetice
Potrivit American Dental Association, pierderea dinților poate afecta masticația, vorbirea și sănătatea orală pe termen lung.
Când este momentul ideal pentru implant dentar
Momentul ideal pentru implant este cât mai aproape de pierderea dintelui.
👉 Vezi serviciul complet:
implant dentar Timișoara
În anumite cazuri, implantul poate fi realizat imediat după extracție.
Se mai poate face implant dacă ai stat mult fără dinte
Da, însă în unele situații poate fi necesară adiția osoasă sau alte proceduri suplimentare.
Cum previi complicațiile
- nu amâna tratamentul
- mergi la control periodic
- respectă recomandările medicului
Preț implant dentar în Timișoara
Costul diferă în funcție de complexitate și de soluția aleasă.
👉 Vezi lista completă:
prețuri servicii stomatologice
Întrebări frecvente
Cât timp pot amâna tratamentul?
Ideal este să nu amâni mai mult de câteva luni.
Dacă nu mă doare, este o problemă?
Da, deoarece modificările apar chiar și fără durere.
Se mai poate face implant după ani?
Da, dar poate necesita proceduri suplimentare.
Programează-te pentru evaluare
La Imperial Dent Clinic Timișoara, fiecare caz este evaluat individual, cu atenție la diagnostic și rezultate pe termen lung.
Dacă ai pierdut un dinte și nu știi cât mai poți amâna tratamentul, o evaluare corectă este esențială.
- Adresă: Str. Arieș nr. 5, Timișoara
- Telefon: 0356 205 036
- Programează-te aici
Articol scris și revizuit de Dr. Cecilia Mureșan, medic stomatolog – Imperial Dent Clinic Timișoara.
Notă medicală: informațiile au scop informativ și nu înlocuiesc consultul de specialitate.

Dr. Cecilia Mureșan, medic stomatolog, coordonează planurile de tratament pentru implant dentar în cadrul Imperial Dent Clinic Timișoara.

















