Infecțiile dentare netratate – riscuri pentru sănătatea generală
Infecțiile dentare netratate reprezintă una dintre cele mai frecvente cauze ale complicațiilor stomatologice,
dar și ale unor probleme de sănătate generală. O infecție apărută la nivelul unui dinte sau al gingiei poate părea minoră,
însă fără tratament corect, bacteriile pot rămâne active și se pot extinde.
Acest articol medical explică de ce infecțiile dentare netratate nu trebuie ignorate și când este necesar
să te adresezi de urgență medicului stomatolog.
Autor medical: Dr. Mureșan Cecilia – Medic stomatolog
Clinică: Imperial Dent Timișoara
Revizie medicală: echipa Imperial Dent Clinic

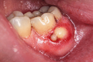
Infecțiile dentare netratate pot evolua rapid și pot produce complicații serioase dacă nu sunt tratate de medicul stomatolog.
Infecțiile dentare netratate – de ce sunt periculoase
Infecțiile dentare netratate apar, de cele mai multe ori, din carii profunde, dinți fisurați sau tratamente amânate.
Chiar dacă durerea scade temporar, focarul infecțios rămâne activ și poate evolua în timp.
La Imperial Dent Timișoara, observăm frecvent pacienți care ajung târziu la stomatolog,
când infecția este deja extinsă și necesită tratamente complexe.
Semnele unei infecții dentare active
O infecție dentară netratată se poate manifesta prin următoarele simptome:
- durere pulsatilă sau continuă
- sensibilitate accentuată la presiune
- umflături gingivale sau faciale
- gust neplăcut persistent
- puroi sau fistulă gingivală
- febră sau stare generală de rău
Dacă aceste semne sunt prezente, există riscul ca infecția să se agraveze.
Poți citi mai multe și în articolul despre
abcesul dentar și semnele de alarmă.
Riscurile infecțiilor dentare netratate asupra sănătății generale
Răspândirea infecției dincolo de cavitatea orală
Infecțiile dentare netratate pot afecta osul maxilar și țesuturile din jur,
iar în cazuri grave pot favoriza apariția unor infecții sistemice.
Complicații la pacienții cu boli cronice
Persoanele cu diabet, boli cardiovasculare sau imunitate scăzută pot avea un risc crescut de complicații,
conform informațiilor publicate de Mayo Clinic
Pierderea dintelui și necesitatea tratamentelor avansate
O infecție dentară netratată poate duce la pierderea dintelui și la necesitatea unor soluții precum
tratamente protetice sau implanturi dentare.
Când infecția dentară devine o urgență stomatologică
Există situații în care infecțiile dentare netratate necesită intervenție imediată:
- umflături extinse ale feței
- dureri intense care nu cedează
- dificultăți la respirație sau înghițire
- febră asociată cu durere dentară
Organizații medicale precum NHS recomandă prezentarea de urgență la medic în aceste situații.
Tratamentul infecțiilor dentare la Imperial Dent Timișoara
La Imperial Dent, tratamentul infecțiilor dentare netratate începe cu un diagnostic corect,
urmat de un plan de tratament personalizat, adaptat fiecărui pacient.
Poți consulta lista completă de
servicii stomatologice și
tarifele orientative direct pe site.

Cabinet stomatologic modern din cadrul Imperial Dent, unde tratamentele dentare sunt realizate în condiții de siguranță, confort și igienă strictă.
Programează-te sau solicită ajutor de urgență
Dacă suspectezi o infecție dentară, nu amâna consultul.
Tratamentul la timp poate preveni complicații serioase.
Programări: 0356.205.036
Urgențe stomatologice: 0722.270.297 (non-stop)
Adresă: Str. Arieș nr. 5, Timișoara
Contact Imperial Dent














